به گزارش مشرق، صبح امروز شبکه اینترنشنال وابسته به عربستان سعودی عکسی از سیتی اسکن مرحومه مهسا امینی منتشر کرد و مدعی شد که «سیتی اسکن مهسا نشانگر شکستگی جمجمه، خونریزی و ادم مغزی است».
با اینکه در ابتدا تصور می شد این تصاویر به مانند بسیاری از اخبار این رسانه سعودی جعلی باشد اما پیگیری ها از مراجع ذیربط نشان داد تصاویر سیتی اسکن منتشر شده مربوط به مرحوم مهسا امینی است.
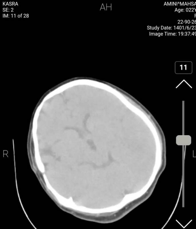
برای بررسی علمی این موضوع با تعدادی از پزشکان مغز و اعصاب و رادیولوژیست گفتوگو کردیم تا به صورت علمی این موضوع را بررسی کنیم. این متخصصان معتقدند بررسیهای سی تی اسکن بیمارستان نشان میدهد هیچ شواهدی از ضربه به سر و خونریزی در این تصاویر به چشم نمیخورد.
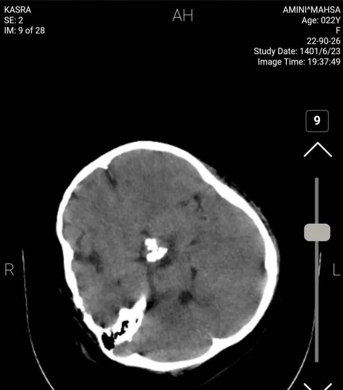
یک متخصص جراحی مغز و اعصاب گفت: بررسیها نشان میدهد که بیمار در گذشته جراحی در ناحیه سر انجام داده است اما براساس شواهد موجود از روی سیتیاسکن نمیتوان فهمید که جراحی دقیقاً مربوط به چند سال قبل است.
همچنین شواهد کرانیتومی فرونتوتمپورال قبلی همراه با آتروفی مختصر عضلانی و تغییرات بافت نرم در محل جراحی بیمار مشهود است.
یکی دیگر از پزشکان مغز و اعصاب نیز جراحی تومور بیمار را تایید میکند. به گفته این متخصص مغز و اعصاب متاسفانه برخی از افراد با دیدن تصاویر ناقص سی تی اسکن درفضای مجازی اقدام به اعلام نظر کردهاند اما واقعیت این است که در تصاویر کامل اثری از شکستگی نیست و این رسانه سعودی تصاویر را از زاویهای منتشر کرده است که شکستگی به نظر برسد.
برای بررسی دقیقتر موضوع سراغ پزشکی دیگری رفتیم. متخصص مغز و اعصاب دیگر میگوید: بیمار در گذشته جراحی سر انجام داده و بخشی از تومور در ناحیه سوپراسلار باقی مانده است. بررسی بیشتر سی تی اسکن بیانگر این است که با توجه به نوع جراحی انجام شده در این ناحیه وقوع دیابت بیمزه در بیمار دور از انتظار نیست و با توجه به آتروفی لوب فرونتال راست احتمال صرع را نمیتوان برای بیمار رد کرد هرچند اساساً تشخیص صرع یا دیابت بیمزه با سیتیاسکن مقدور نیست.
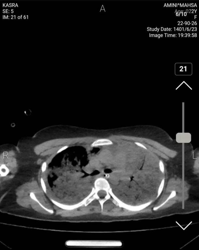
برای بررسی وضعیت ریه بیمار نیز با تخصص رادیولوژی گفتوگو کردیم که وی توضیح میدهد: در سیتیاسکن ریه شواهد کانتیوژن یا له شدگی بافت ریه مشاهده میشود که پس از «سی پی آر» رخ میدهد و ممکن است در هر بیماری رخ دهد و این موضوع غیرطبیعی نیست.
علاوه بر سیتیاسکن فوق در عصر ۲۳ شهریور انجام شده چند گرافی پرتابل مربوط به روزهای ۲۴ و ۲۵ شهریور نیز از ایشان گرفته شده که برخلاف ادعای بعضی رسانهها نشان میدهد وی طی این مدت زنده بوده است.









۲۳:۰۹ - ۱۴۰۱/۰۶/۲۸
۲۳:۴۹ - ۱۴۰۱/۰۶/۲۸
۰۰:۲۲ - ۱۴۰۱/۰۶/۲۹
۱۰:۳۱ - ۱۴۰۱/۰۶/۲۹
۰۱:۳۸ - ۱۴۰۱/۰۶/۲۹
۰۴:۴۶ - ۱۴۰۱/۰۶/۲۹