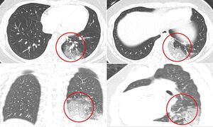
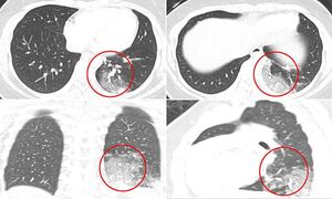
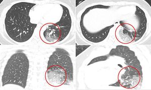
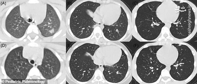
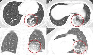
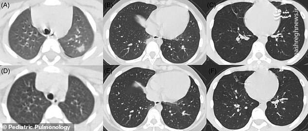
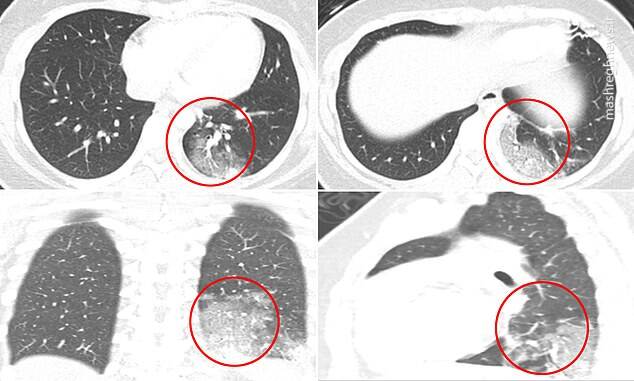
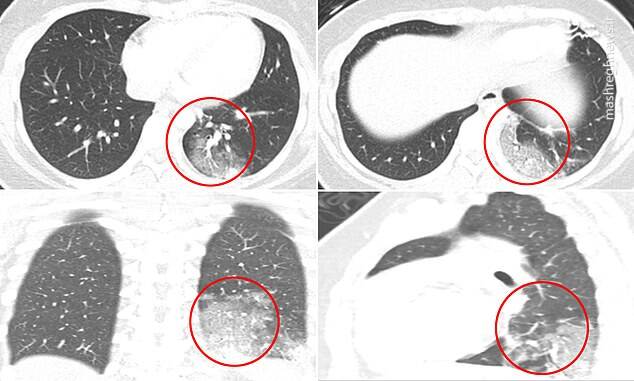
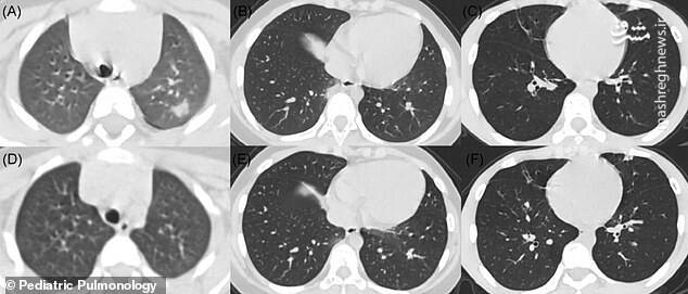
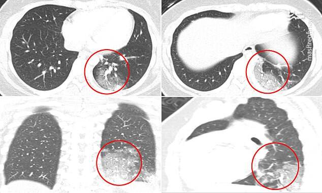
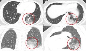
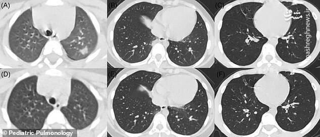
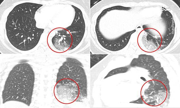
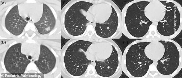
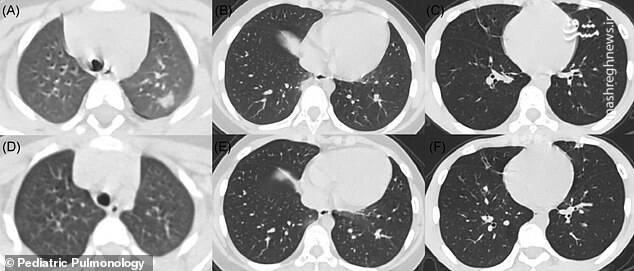
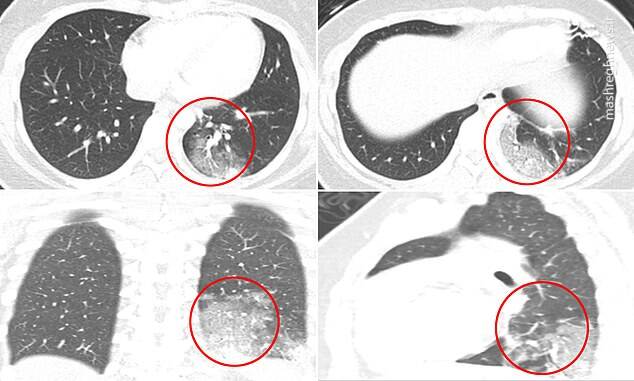
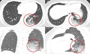
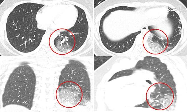
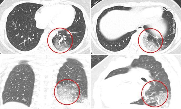
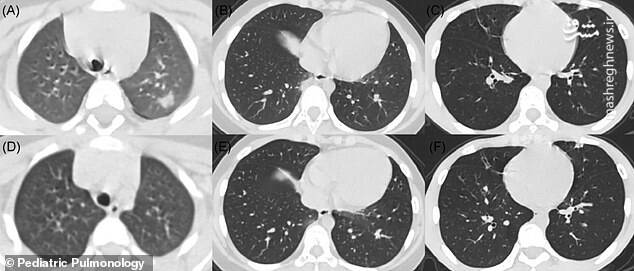
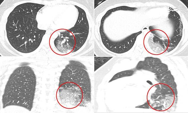
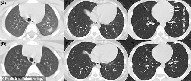
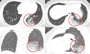
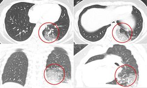
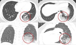
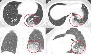
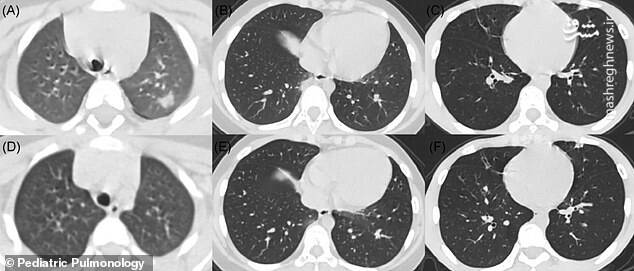
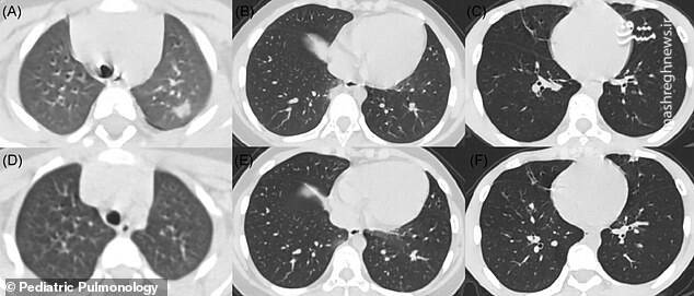
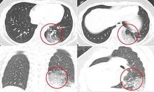
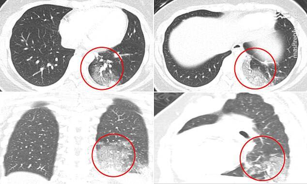
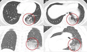
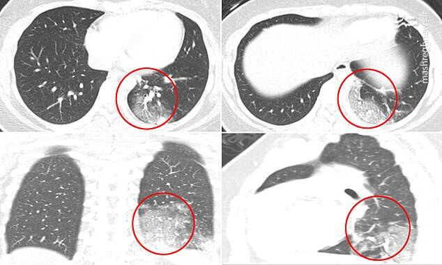
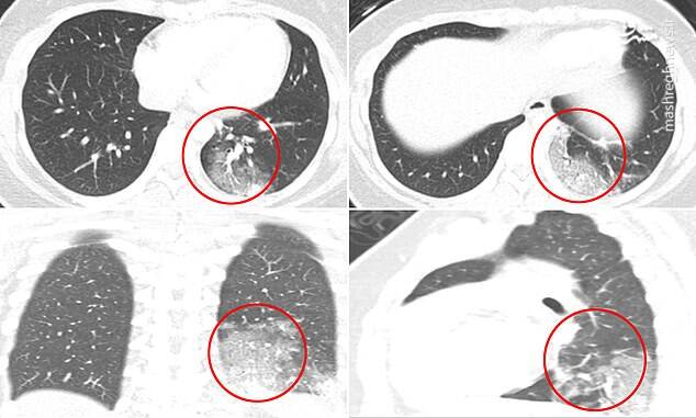
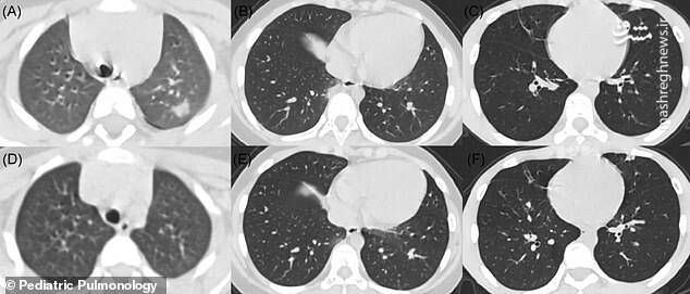
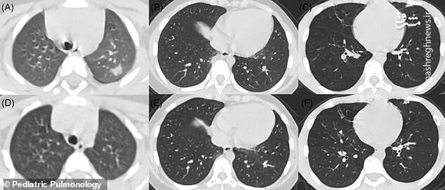
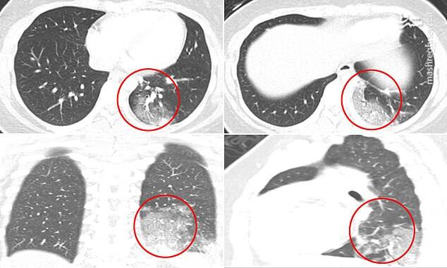
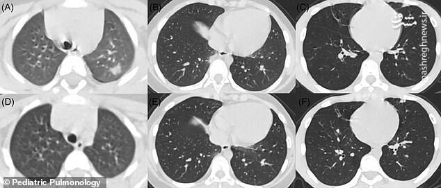
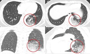
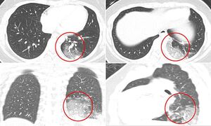
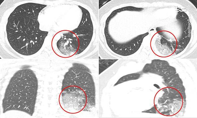
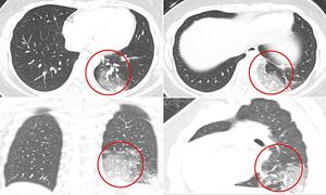
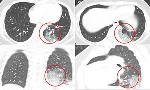
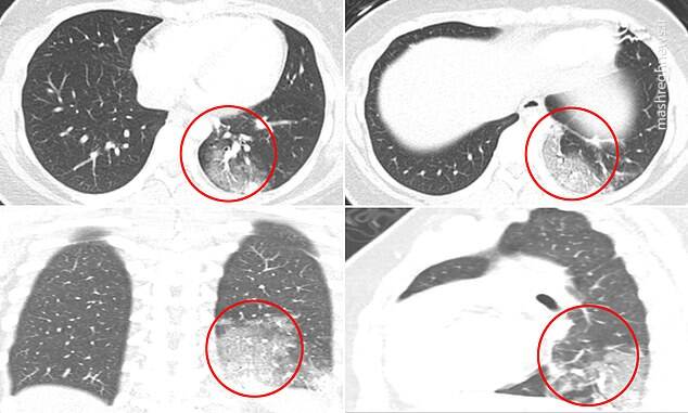
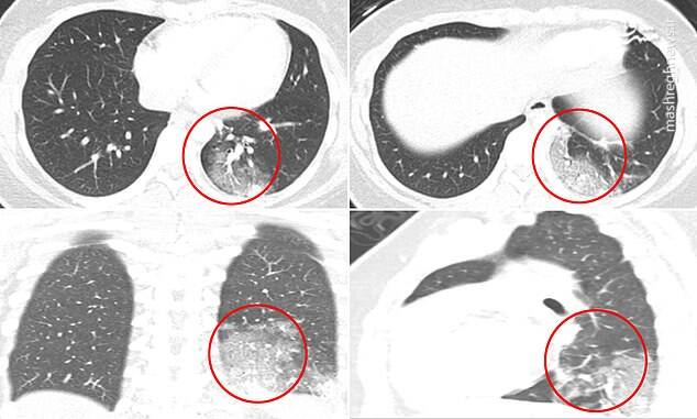
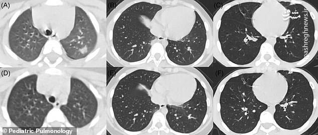
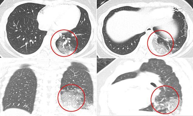
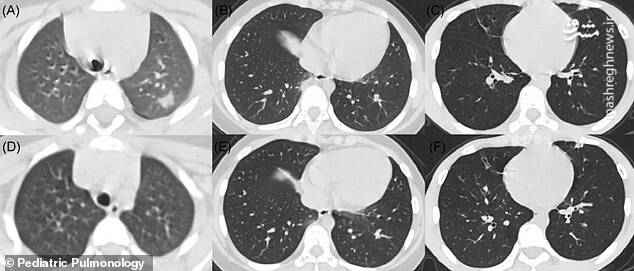
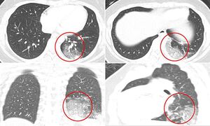
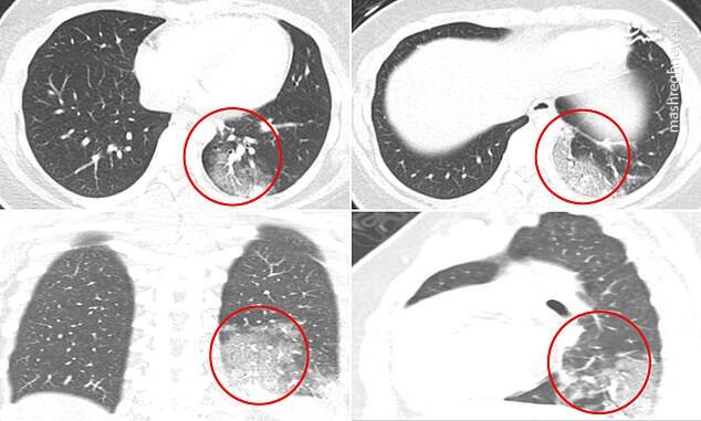
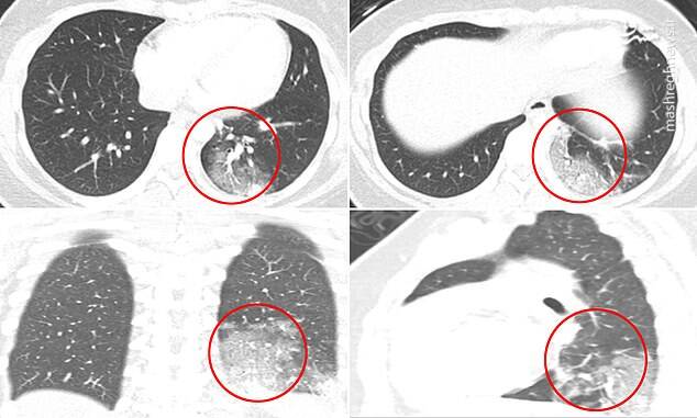
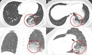
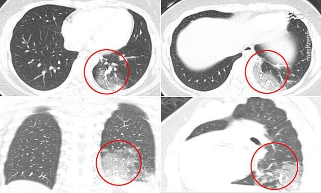
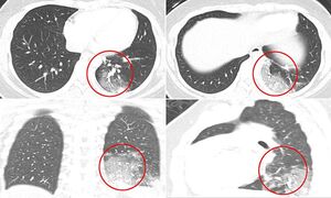
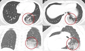
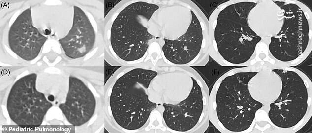
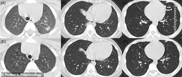
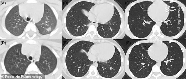
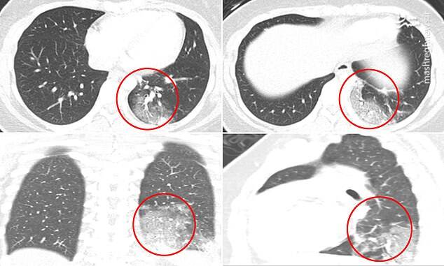
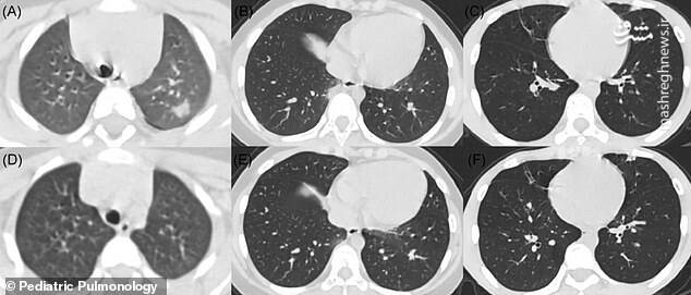
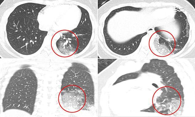
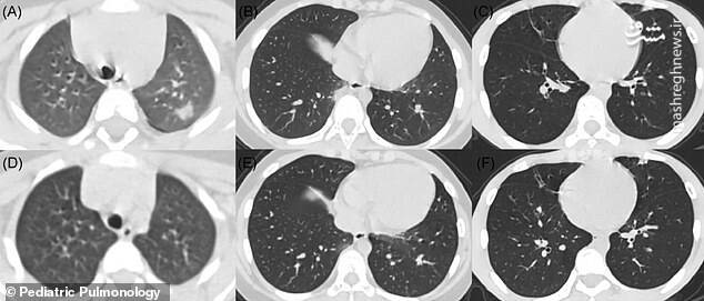
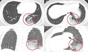
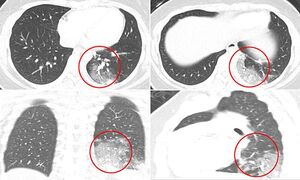
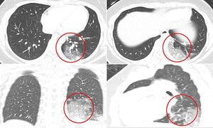
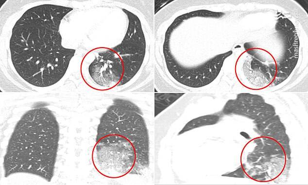
mshrgh.ir/1071375 کد خبر 1071375 تاریخ انتشار: ۲۲ اردیبهشت ۱۳۹۹ - ۰۸:۰۳ ۰ نظر چاپ عکس و فیلم عکس/ سی تی اسکن از کودکان مبتلا به کرونا تصاویر سی تی اسکن از کودکان مبتلا به کرونا در بوستون آمریکا نشان می دهد بیش از نیمی از آنها دچار التهاب شدید ریه هستند. اخبار مرتبط عکس/ تمرین ورزشکار قایقرانی در خانه فیلم/ اروپا در صف کیت تشخیص کرونای ایرانی فیلم/ آخرین آمار مبتلایان به کرونا در جهان عکس/ تمرین ورزشکاران ایرانی در شرایط کرونایی فیلم/ نکات کلیدی استفاده از ماسک در مترو عکس/ درگیری پلیس با مخالفان قرنطینه عکس/ تعظیم تکنولوژی، اینترنت و آموزش مجازی! عکس/ همافزایی گروههای جهادی در پویش ۱۴۴۱ عکس/ دیدار بستگان از طریق جرثقیل عکس/ به وقت افطار عکس/ تظاهرات معترضان به قرنطینه در آلمان عکس/ تب سنجی قبل از جلسه دادگاه عکس/ مقاومت یک کودک در برابر انجام تست کرونا عکس/ مرحله دوم کمک مومنانه در آذربایجان برچسبها ویروس کرونا کودکان سی تی اسکن بیماری ریه آمریکا